عانت من آلام بالمعدة.. والأطباء اكتشفوا المفاجأة الصاعقة
في حالة طبية نادرة جدا، تصيب شخصا بين كل نصف مليون شخص، نجح الجراحون في إنهاء آلام هندية شابة كانت تعاني من آلام في المعدة، قبل أن يبدأ بطنها بالكبر تدريجيا.
واشتكت الشابة الهندية، البالغة من العمر 17 عاما، في البداية من آلام في المعدة، لم تستطع التخلص منها، ثم لاحظت كتلة متزايدة في بطنها.
ثم اضطرت في النهاية، إلى الذهاب إلى الطبيب، الذي اكتشفت أن مشكلتها ليست هضمية على الإطلاق، فقد كانت تحمل توأمها المشوه في بطنها طوال حياتها.
ووفقا لمقال نشر في المجلة الطبية البريطانية مؤخرا، يعتقد الأطباء أن الشابة، التي تم التحفظ على هويتها، هي الأولى التي حملت توأما تطور جزئيا في جسمها إلى مرحلة البلوغ.
وبحسب التقرير، فقد نمت كتلة غامضة بزاوية غريبة من معدة الشابة الهندية على مدى 5 سنوات، وكانت تتسبب لها بآلام حادة في بعض الأحيان، فيما كانت تشعر بالشبع وامتلاء المعدة في أحيان أخرى.
وعندما فحص الأطباء بطنها، شعروا بوجود كتلة كانت صلبة إلى حد ما، ولكن ليس باستمرار، ولذلك بدت كأنها ورم كبير وغريب، كما ذكرت صحيفة "دايلي ميل" البريطانية.
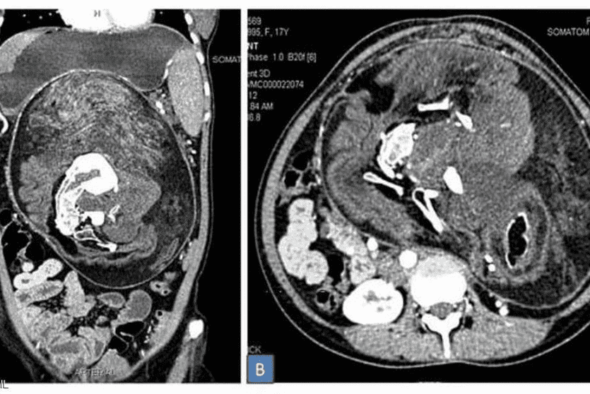
وبعد إجراء تصوير بالأشعة والتصوير المقطعي، اتضحت طبيعة الكتلة الغريبة داخل أحشاء الفتاة وتم التعرف عليها على أنها مجموعة كاملة من الأعضاء والأنسجة، وبدت بعض المناطق مثل الدهون، بينما ظهرت مناطق أخرى مثل الأنسجة الرخوة للأعضاء، ثم بعض الأجزاء الصلبة المكونة من الكالسيوم، والتي بدت بيضاء صارخة في التصوير بواسطة الأشعة المقطعية.
وعند الفحص الدقيق، تبين أن أجزاء الكالسيوم ما هي إلا عظام، وعلى وجه التحديد، فقرات وأضلاع وعظام طويلة.
كان ذلك قبل عامين، عندما قرر الأطباء إجراء عملية جراحية لإزالة هذه الكتلة، التي تبين أنها تحتوي بالفعل على العظام والشعر وعدة أسنان بالإضافة إلى "هياكل تشبه براعم الأطراف".
وتعرف هذه الكتلة باسم "المسخ"، وهو شكل من أشكال الورم الحميد الذي يتطور إلى عدة أنواع من الأنسجة، مثل تلك التي تنمو في مراحل نمو الطفل، ولكنها ليست طفلا، وفي كثير من الأحيان يتشكل المسخ في المبيض أو الخصية أو عظم الذنب.
غير أن "المسخ" عند هذه الفتاة يعد فريدا من نوعه لعدة أسباب، منها أنه من المحتمل أن يكون ورمها التوأم المشوه الذي بدأ يتطور إلى جانبها في الرحم، غير أنه تم امتصاصه في جسمها عندما فشل في التطور أكثر من ذلك.
وتحدث هذه الظاهرة، التي تسمى "جنين داخل الجنين" في واحدة فقط من بين كل 500 ألف ولادة حية في جميع أنحاء العالم، وغالبا ما تظهر لدى الذكور، ونادرا ما تظهر بعد الولادة.
وبعد عامين على العملية الجراحية لإزالة "المسخ"، قالت الفتاة إنها تشعر بالسعادة الآن، وكذلك الحال مع والديها.
وأشارت إلى أنها لم تعد تشعر بآلام المعدة، كما أن بطنها لم يعد منتفخا أو كبيرا كنا كان عليه الحال قبل العملية الجراحية. سكاي نيوز

