فلسطين اليوم
فلسطين 48
الشتات
المحافظات
العالم اليوم
ملتيميديا
فيديو
صورة وحكاية
عين على الحدث
بودكاست
تقارير خاصة
برامج الإذاعة
اتصل بنا
راية اف ام
راية مكس
راية تي في
البث المباشر
الطقس
Loading...
أوقات الصلاة
الفجر
4:53 AM
الظهر
11:53 AM
العصر
3:05 PM
المغرب
5:37 PM
العشاء
6:52 PM
العملات
Loading...
ترددات البث
جنوب فلسطين
FM 96.8
أريحا و الأغوار
FM 96.8
وسط فلسطين
FM 98.3
جنين و الخليل
FM 98.3
شمال فلسطين
FM 96.4
بودكاست
شبكة راية الإعلامية
الأوسمة
عمليات جراحية
الهلال الأحمر: نفاد مخزون الأوكسجين في مستشفى الأمل
وصول وفد طبي دولي لإجراء عمليات قلب مفتوح في غزة
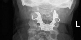
الأشعة تكشف فضيحة طبية.. مريض يبتلع طقم أسنانه أثناء التخدير
صور-الأولى من نوعها في فلسطين.. نجاح جراحة قلبية لرضيع في مشفى المقاصد
بينهم ويجز وآية سماحة.. إصابات وتسمم وعمليات في الوسط الفني المصري
وفد طبي يصل قطاع غزة لإجراء عمليات جراحية معقدة
الأسيرة جعابيص تعاني سياسة الاهمال الطبي المتعمد منذ 7 سنوات
العمل الصحي بالجنوب تسلم أدوات طبية مساعدة لذوي الإعاقة
السفير القطري يصل غزة في زيارة تستمر أيام
عودة طائرة من منتصف رحلتها بعد نسيان "قلب بشري" على متنها
المقاصد تنجح في إجراء عملية معقدة لطفلة تعاني من ورم في رئتها اليسرى
أغرب ولادة.. توأم متطابق "واحد بداخل الآخر"
Loading...
أظهر المزيد
بحث