فيديو: هكذا ينبض الدماغ مع القلب..لقطات مذهلة
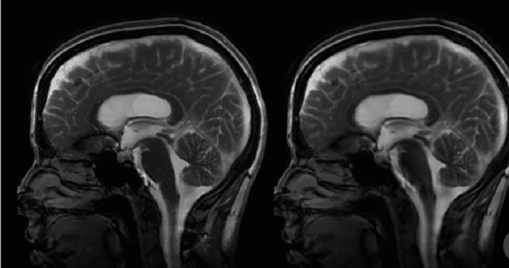
أظهر تصوير بتقنية حديثة أبطأ وأقل التحركات في الدماغ وذلك كي يتمكن العلماء من تيشخيص الحالات بشكل أفضل
ويظهر في التصوير أن الدماغ ينبض بشكل مذهل مع القلب، ما يسمح للدم ولسائل النخاع الشوكي بالتنقل عبر الدماغ وحوله، وتزويده بالأكسجين والمواد المغذية، وتوفير وسادة بين العضو الطري المرن والجمجمة.
وتعد التقلبات والتذبذبات في الدماغ ضئيلة جدا، حيث تتحرك على مسافة أصغر من عرض شعرة الإنسان، ما يجعل من الصعب اكتشافها بدون مجاهر عالية القوة.
وأنشأ فريق دولي من العلماء تقنية تصوير وخوارزمية تتيح لهم رؤية الحركات الصغيرة بشكل واضح وسريع، لرصد التورم الخطير في المخ، كما يحدث عند الارتجاج.
وتقول الدكتورة سامانثا هولسووت، من الباحثين الذي ساعدوا في تطوير التكنولوجيا: "بهذه الطريقة، يمكنك التقاط الرأس بأكمله في المساحة الضوئية، بسبب قوة ضخ الدم إلى الدماغ في كل مرة ينبض فيها القلب".

